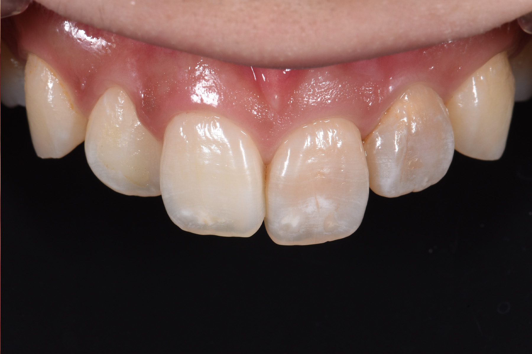
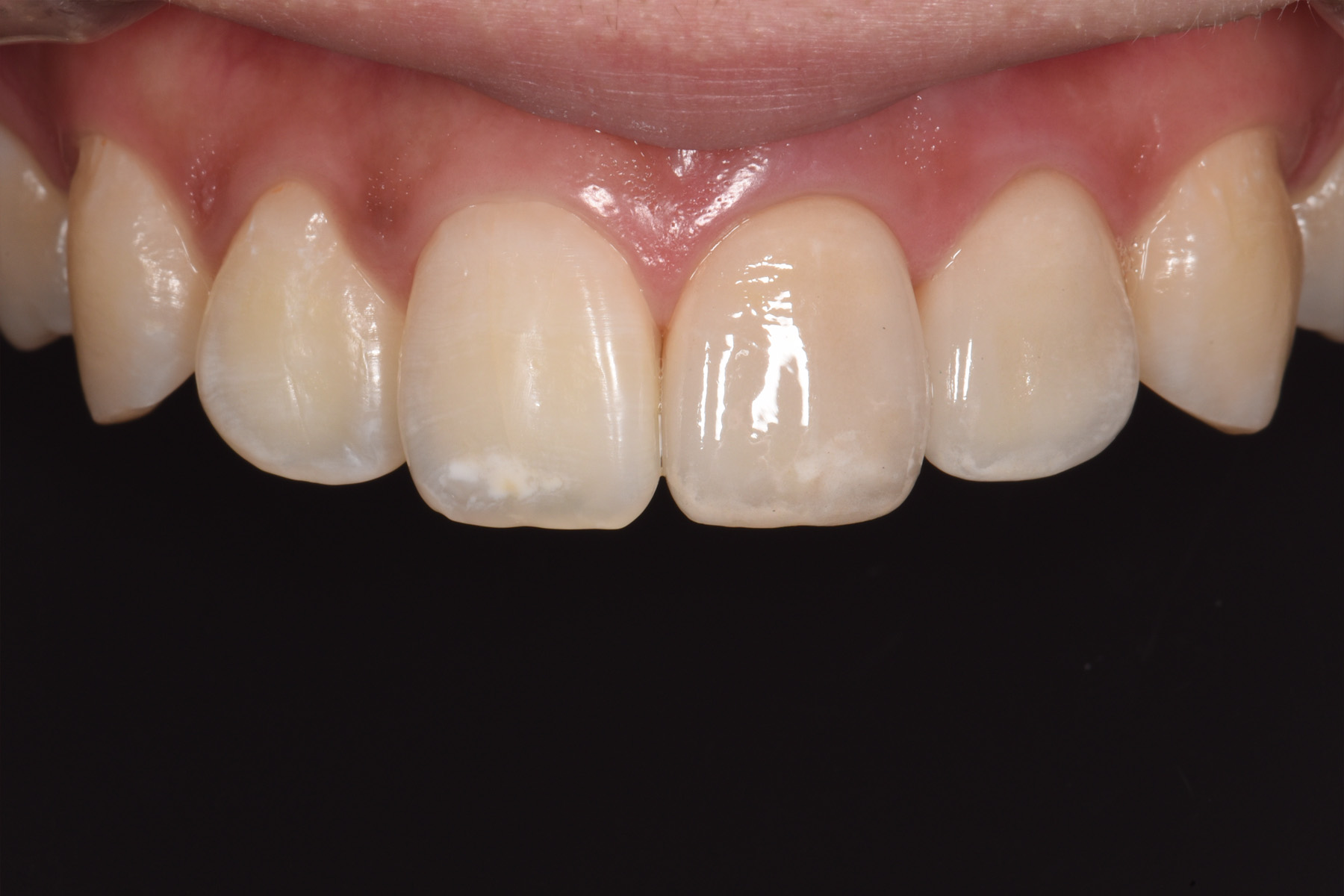
【20代女性】【部分矯正・セラミック治療】歯並びを良くしたい。歯を白くしたい。
治療前

治療後

治療前

治療後

| 担当医 | 加藤 駿祐 |
|---|---|
| 主訴 | 歯並びを良くしたい。歯を白くしたい。 |
| 期間 | 6ヶ月 |
| 費用 | 500,000円 |
| 治療内容 | 部分矯正、セラミックス |
| 治療に伴うリスク | 歯列矯正のため、期間がかかる。 |




| 担当医 | 加藤 駿祐 |
|---|---|
| 主訴 | 歯並びを良くしたい。歯を白くしたい。 |
| 期間 | 6ヶ月 |
| 費用 | 500,000円 |
| 治療内容 | 部分矯正、セラミックス |
| 治療に伴うリスク | 歯列矯正のため、期間がかかる。 |
| 診療受付時間 | 月 | 火 | 水 | 木 | 金 | 土 | 日 |
|---|---|---|---|---|---|---|---|
| 9:00-11:30 | ● | ● | ● | 〇 | ● | ● | ━ |
| 14:00-17:30 | ● | ● | ● | 〇 | ● | △ | ━ |


