まさと歯科医院

【60代男性】【オールオン4/オールオン6】歯を入れたい。

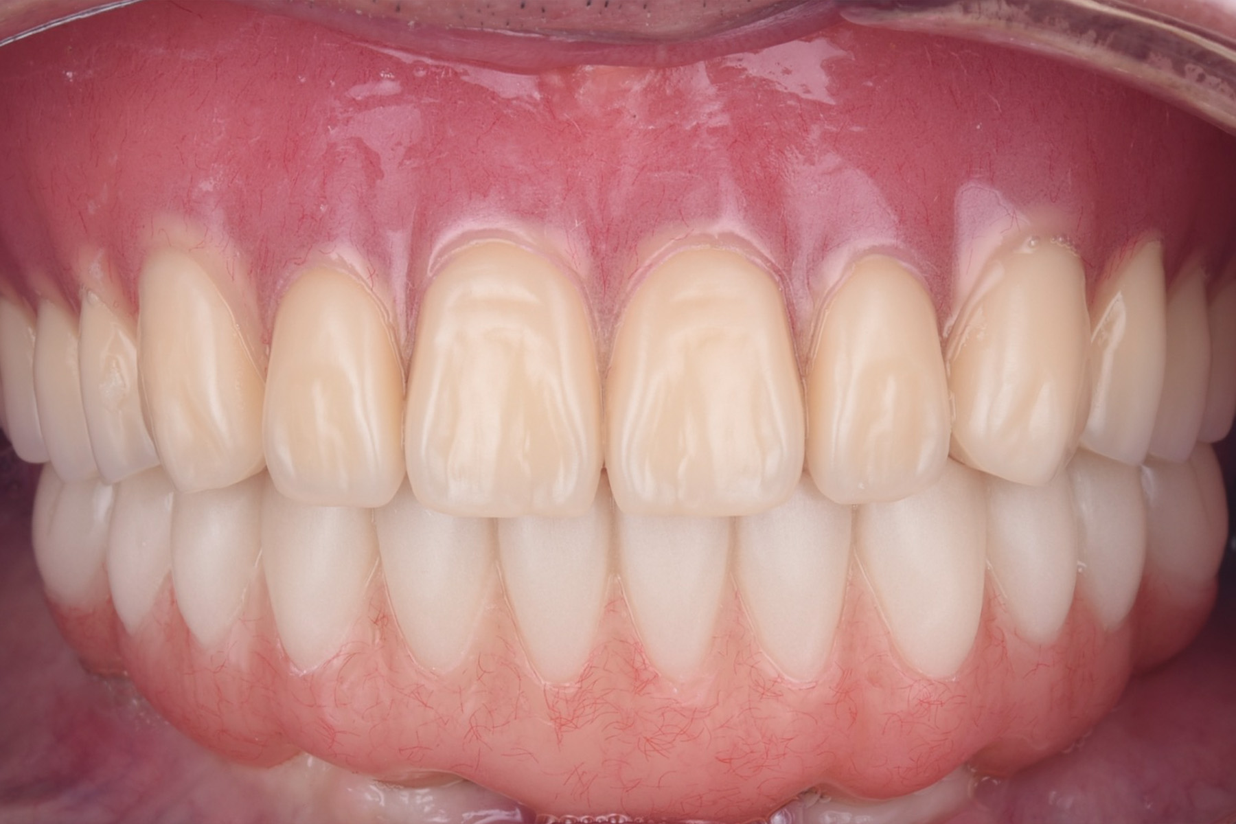
治療前

治療後①

治療後②

担当医 加藤 駿祐
主訴 歯をいれたい
期間 10ヶ月
費用 約5,000,000円
治療内容 入れ歯治療+インプラント治療(オールオン6)+ジルコニア治療
治療に伴うリスク インプラントを行うので外科処置と治療期間が必要です。

関連症例

診療受付時間 診療受付時間

診療受付時間
9:00-11:30
14:00-17:30
木曜日
〇:休診の場合があります。
詳しくは「休診日」をご参照下さい。
土曜日
△:午後の受付は16:30まで。
休診日
日曜・祝祭日・年末年始・
お盆期間・祝祭日のない第1、3週の木曜日
  • FREE Wi-Fi
  • AED 自動体外式除細動器 設置施設
  • FREE Wi-Fi / AED 自動体外式除細動器 設置施設

アクセス アクセス

栗原市・登米市・大崎市の歯医者
医療法人 まさと歯科医院
〒989-4521 宮城県栗原市瀬峰下田198-1
TEL: 0228-38-2266

JR「瀬峰駅」徒歩7分
-JR「瀬峰駅」徒歩7分
登米市民バス「宮小路原バス停」徒歩1分
-登米市民バス「宮小路原バス停」徒歩1分
-医院専用駐車場「20台」完備